- Новости науки и техники
- Биология и медицина
20 января 2026, 07:30
Виртуальная гистология: раскраска для ИИ или новый подход к диагностике?
Искусственный интеллект (ИИ) все больше входит в самые разные сферы нашей жизни, включая такую сложную и ответственную, как медицина.
Читать ещё
19 января 2026, 18:44
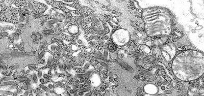
Ученые напечатали твердые полимерные структуры внутри живых клеток
Исследователи из Словении совершили прорыв, научившись с помощью лазерной 3D-печати изготавливать внутри живых человеческих клеток микроскопические полимерные структуры. Возможность создания внутри клетки твердых объектов произвольной формы с деталями размером до 100 нанометров — метод двухфотонной полимеризации — открывает путь к созданию внутриклеточных датчиков, механических зондов и сложных оптических устройств.
Читать ещё
19 января 2026, 16:34
По метаболитам крови можно оценить риски диабета за годы до симптомов
Ученые обнаружили, что особенности циркуляции метаболитов, формируемых генами и образом жизни, позволяют выявлять людей с высокими рисками диабета второго типа за несколько лет до диагноза. Такой подход оказался намного более эффективным, чем традиционный метод по оценке пола, возраста, ИМТ и уровня глюкозы в крови.
Читать ещё
19 января 2026, 14:21
Первый препарат против болезни Шегрена получил статус прорывной терапии
Компания-разработчик Novartis сообщила, что ее экспериментальный препарат ианалумаб может получить одобрение уже в начале этого года. Сейчас американский регулятор FDA присвоил препарату статус прорывной терапии на основе успешных результатов третьей фазы клинических исследований. Ианалумаб должен стать первым одобренным для пациентов лекарством против болезни Шегрена – распространенного тяжелого аутоиммунного заболевания.
Читать ещё
18 января 2026, 16:40
Дефицит бурого жира в организме повышает риски развития гипертонии
Ученые обнаружили новый механизм, лежащий в основе развития гипертонии. С одной стороны, давно известно о связи ожирения и повышенного риска сердечно-сосудистых заболеваний. Новое исследование показало, что риски растут на фоне отсутствия бурого жира в организме. Дефицит этого типа жировой ткани приводит к повреждению кровеносных сосудов, выяснили авторы.
Читать ещё
18 января 2026, 06:00
SciNat за январь 2026 #3: маленькие красные точки, пестициды и укорачивание теломер рыб, Эль-Ниньо в Бразилии, нейронаука и биомиметика
В новом дайджесте — как воспалительные сигналы напрямую нарушают работу дофаминовой системы и связаны с депрессией.
Читать ещё
16 января 2026, 15:48
Бактерии полости рта влияют на развитие и прогрессирование заболеваний печени
Новое исследование команды из Германии доказало влияние бактерий во рту на риски развития хронических заболеваний печени. Ученые обнаружили конкретный механизм того, как это происходит. Открытие предлагает возможности лечения даже запущенных состояний простой коррекцией микробиоты.
Читать ещё
16 января 2026, 14:35
ПТСР и патологии сна повысили риск развития острого коронарного синдрома
N + 1 — главное издание о науке, технике и технологиях
Читать ещё
16 января 2026, 07:04
Новости биофармы за 2025 год: персональное генное редактирование, новый класс обезболивающих впервые за 25 лет, новое лекарство от гипертензии и многое другое
С момента публикации последних новостей прошел целый год, и накопилось множество замечательных событий
Читать ещё
15 января 2026, 21:25
Нарушения цветового зрения ухудшили выживаемость при раке мочевого пузыря
N + 1 — главное издание о науке, технике и технологиях
Читать ещё